Implantología oral
"Sonríe con confianza, implantes para toda la vida".


IMPLANTOLOGÍA ORAL Y SUS DISTINTAS FORMAS DE REHABILITACIÓN


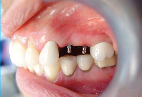
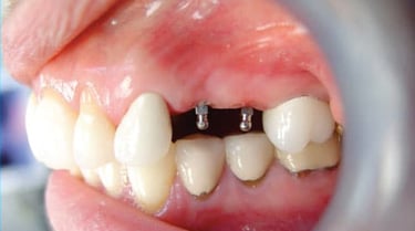
Puente Implantosoportado:


Es una solución cuando faltan varios dientes seguidos, en lugar de colocar un implante por cada diente, se usan 2 o 3 implantes estratégicos para sostener una prótesis fija
Prótesis dental completa sobre implantes o Prótesis total implantosoportado:


Cuando restauramos todos los dientes ya sea en su maxilar superior o mandíbula. Puede ser de 4 y 6 depende de la prótesis que se vaya a utilizar en cada paciente. Estas prótesis son fijas y son extraíbles solamente por un profesional.
Prótesis removible sobre implantes o sobredentadura:
Prótesis híbrida: reemplaza los dientes y la encía faltante


Prótesis fija total implantosoportada: reemplaza sólo los dientes
Este tipo de prótesis se utiliza en la mandíbula, son extraibles y se coloca por lo general 2 implantes. Estas prótesis se unen a una barra o a esferas que son pilares.


Implantología con carga inmediata:
La técnica de carga inmediata permite colocar los implantes dentales y dientes fijos provisionales el mismo día de la cirugía. Ideal para reponer todos los dientes (arcada completa) con 4 a 6 implantes, o un solo diente perdido con un implante unitario.


LA IMPLANTOLOGÍA ORAL ES UNA RAMA DE LA ODONTOLOGÍA QUE TIENE COMO OBJETIVO REEMPLAZAR DIENTES PERDIDOS MEDIANTE EL USO DE IMPLANTES DE TITANIO, LOS CUALES SE INTEGRAN AL HUESO DE LOS MAXILARES.
Los implantes oseointegrados son dispositivos hechos con biomateriales que han sido desarrollados para anclarse al hueso y unirse íntima, directa y funcional entre el hueso y la superficie del implante sometido a carga funcional; con el fin de reemplazar dientes perdidos, recuperando la función del sistema masticatorio y la estética.
El éxito de todo tratamiento con implantes es la realización de un examen clínico muy minucioso, de un estudio complementario de: modelos de estudio, radiografías periapicales, panorámica y tomografía computarizada (cone beam) y la evaluación sistémica del paciente.


Descubre nuestros implantes dentales unitarios, la solución ideal para reemplazar dientes perdidos. Con raíces de titanio y coronas naturales, ofrecemos fuerza y durabilidad en un proceso sencillo de 3-6 meses. ¡Contactanos para una evaluación y luce tu mejor sonrisa!
Implantes Unitarios:
Los puentes implantosoportados son una solución duradera para reemplazar varios dientes con implantes de titanio que actúan como bases sólidas. En 3-6 meses, obtén una sonrisa natural y estable. ¡Consulta con nosotros para tu evaluación personalizada!
Transforma tu sonrisa con nuestra prótesis total implantosoportada, apoyada en implantes de titanio para mayor estabilidad. En solo 3-6 meses, disfruta de una dentadura fija y natural. ¡Agenda tu evaluación hoy!
Mejora tu comodidad con una sobredentadura, una prótesis removible apoyada en implantes de titanio. En 3-6 meses, obtén una solución estable y práctica. ¡Contactanos para tu consulta personalizada!
Recupera tu sonrisa al instante con la implantología de carga inmediata: implantes de titanio con coronas colocadas el mismo día. En unas pocas horas, disfruta de dientes funcionales. ¡Agenda tu evaluación ahora!
¿POR QUÉ ELEGIR BARAQUIEL PARA TUS IMPLANTES DENTALES?
Tecnología de precisión 3D
Escáneres digitales y cirugía guiada para más seguridad y comodidad.
Implantes de alta calidad
Materiales biocompatibles con respaldo internacional.
Diseño a tu medida
Cada implante se adapta a tu boca y tu estética facial.
Resultados naturales y duraderos
Recupera tu sonrisa, tu función y tu confianza.


BENEFICIOS DE LOS IMPLANTES DENTALES
Reemplazo fijo y duradero
Funciona como un diente natural y no se mueve.
Mejora al masticar y hablar
Recuperas funcionalidad sin molestias.
Evita el desgaste óseo
Preserva el hueso y la forma de tu rostro. Evitas el envejecimiento prematuro.
Aumenta tu autoestima
Vuelves a sonreír con confianza..


Los implantes dentales son raíces artificiales de titanio que se colocan en el hueso para reemplazar dientes perdidos. Se integran naturalmente con tu cuerpo y permiten recuperar la función masticatoria, la estética y tu confianza al sonreír.
En Clínica BARAQUIEL, especialistas en implantología oral en Quito, utilizamos cirugía guiada por computadora, materiales biocompatibles de alta calidad y técnicas mínimamente invasivas para garantizar seguridad, precisión y resultados duraderos.
El éxito del tratamiento inicia con una evaluación clínica detallada, modelos digitales, radiografías, tomografía 3D (Cone Beam) y un plan personalizado adaptado a tu caso


“Viví años con infecciones, dolor al comer y me daba vergüenza sonreír. La doctora Katerine Ríos, me explicó todo con paciencia, y gracias a los implantes recuperé mi salud, mi sonrisa y hasta mis ganas de salir de casa. No es solo estética, es volver a vivir con tranquilidad.”
Testimonio real de paciente:
Sofia R.
Tu Sonrisa en Manos de Profesionales de primer nivel, conoce a Nuestros Especialistas:










