ODONTOLOGÍA
ESTÉTICA
"Tu sonrisa puede cambiar tu vida. Nosotros te ayudamos a hacerla inolvidable".




La Odontología Estética es la rama de la odontología que se enfoca en mejorar la apariencia de la sonrisa sin descuidar la salud y la función dental.
La odontología estética es una rama especializada de la odontología que restaura dientes dañados o perdidos, devolviendo el equilibrio estético y funcional de la boca.
En Clínica BARAQUIEL, expertos en rehabilitación oral en Quito, te ayudamos a volver a masticar, hablar y sonreír con total seguridad.
Nuestros tratamientos no solo transforman tu sonrisa, sino que también mejoran tu autoestima, previenen problemas articulares (ATM) y devuelven armonía a toda tu boca. Si perdiste uno o varios dientes, no esperes más. Hay solución.
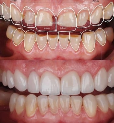
¿POR QUÉ ELEGIR BARAQUIEL PARA TU DISEÑO DE SONRISA?
-Estudio personalizado
Analizamos tu rostro y dientes para crear una sonrisa única y natural.
-Tecnología avanzada
Usamos escáneres digitales, simulaciones 3D y fotografía clínica.
-Materiales premium
Usamos carillas, resinas y cerámicas de última generación.
-Resultados reales
Sonrisas armónicas, buscamos que reflejes lo mejor de ti, con naturalidad y seguridad.
BENEFICIOS DEL DISEÑO DE SONRISA
-Mejora estética inmediata
Dientes más blancos, alineados y armónicos.
-Más seguridad al sonreír
Aumenta tu autoestima y confianza.
-Diseño personalizado
Adaptado a tu rostro y estilo


¿Qué es la odontología estética ?
--Diseño Digital de Sonrisa (DSD)
--Carillas de Resina y Carillas de Cerámica
--Blanqueamiento Dental Profesional
--Recontorneo Gingival (estética de encías)
--Corrección de forma y tamaño dental
--Restauraciones Estéticas
--Resinas de alta estética
--Fotografía clínica y planificación 3D


El tratamiento de odontología estética incluyen una gran variedad de servicios como:


Tu nueva sonrisa empieza con una decisión.
Haz clic abajo para agendar tu cita y déjanos ayudarte a recuperar lo que perdiste




“Siempre soñé con una sonrisa bonita, pero tenía miedo de que se vea falsa o exagerada. En Baraquiel la doctora Katerine Ríos entendió exactamente lo que quería. Me hizo un diseño natural, armonioso, y ahora sonrío sin inseguridades. Fue lo mejor que pude hacer por mí.”
Valentina S.
Testimonio real de paciente:
Tu Sonrisa en Manos de Profesionales de primer nivel, conoce a Nuestros Especialistas:










